Socket Shield Technique. Report of a case.

Table of Contents
Dimensional changes of the alveolar ridge following tooth extraction continue to burden restorative implant treatment.
Many clinical studies have verified that the buccal part of the ridge contour is more compromised than the lingual part due to the destruction of the bundle bone periodontal ligament complex (Glocker 2014, Wadhwani P 2015, Gluckman H, Baumer 2013, Hurzeler 2010, Chen 2004).
Especially in the esthetic zone, the successive soft and hard tissue deficiencies can interfere with optimal restoration-oriented three-dimensional implant position and hamper the overall aesthetic outcome (Chen 2004).
Conventional techniques to avoid volume loss after extraction
To overcome the negative consequences of tooth extraction, different techniques, such as atraumatic techniques for socket preservation, immediate implant placement, buccal overbuilding with bone grafting materials, and collagen barrier, have been proposed to retain the original ridge dimension.
However, these techniques could only partly compensate but not avoid the resorption process, and therefore a better solution was desirable.
In an attempt to overcome this challenge, the socket-shield technique, based on the root submergence technique (RST) (Salama 2007), was proposed by Hürzeler et al, 2010, in which a partial buccal root fragment was retained around simultaneous to immediate implant placement.
The desired effect was to maintain the healthy periodontium, thereby maintaining the gingival tissues and keeping the crestal bone at its original level.
The socket-shield technique has demonstrated histological and clinical results contributing to esthetics implant treatment. In histological studies, its capacity to avoid bone remodeling on the buccal side aspect of the root and the preservation of buccal bone plate and surrounding buccal/facial tissues has been reported, and it seems not to interfere with implant osteointegration (Huerzeler 2010, Baümer 2013).

This clinical case illustrates a modified concept of socket-shield technique in the esthetic zone to obtain a predictable result in implant therapy.
The author proposed an approach was the retention of the buccal root fragment of an extracted tooth (#23) in combination with immediate implant placement to maintain the surrounding gingival architecture.
[Tweet "The socket-shield technique has demonstrated histological and clinical results contributory to esthetics implant treatment"]
Clinical case
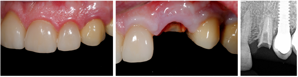
A 65-year-old male patient, with a fixed rehabilitation in #23 and implant-supported rehabilitation in teeth 24 and 25, presented with a complicated fracture on the left canine (#23).

A conservative extraction of tooth #23 with the anticipated subsequent resorption of the buccal tissues would have meant a far-reaching change of the aesthetics. So, the treatment plan implicated an immediate implant placement within the meaning of the socket-shield technique and flapless implant placement at the site of tooth #23 in order to maintain the initial gingival architecture.
Conservative extraction of the palatal root fragment was done with special forceps, and the socket was debrided gently and irrigated with normal saline.

Implant bed preparation at the palatal wall of the socket was performed, and a root-form implant (Klockner ®KL (4,2x12mm)) was placed according to the manufacturer's recommendations without contact with the shield.
The apicocoronal position of the implant platform was 1mm apical to the palatal marginal gingiva. The gap between the shield and implant surface was left to enable blood clot formation.

The final torque was 50nm, and we opted to do immediate non-functional loading through the splinting of provisional to the implant of teeth 24.

Final restoration
Eight months later, the provisional was substituted for a traditional zirconium crown, showing an amazing gingival architecture, which was seen as unchangeable after a 6th, 18th, and 24th month follow-up period.

Discussion
In this case report, it was shown that the socket shield technique with immediate implant placement, as reported by HÜrzeller 2010, preserves the buccal cortical plate and healthy peri-implant tissues can be observed, showing to be one of the most conservative ridge preservation strategies for bone counters and gingival architecture preservation, and thought for getting a more aesthetic final result.
However, it should be stated that for its correct performance, clinicians must be familiarized with this technique as performing correctly on first attempts is tough.

More about socket shield technique in this Ibook:

Comments
0 totalLoading comments...
Previous
5 Important Scientific Publications About Implant Dentistry
Next
Stranger Implants: The Top 10 Stranger Implant Cases Seen on Social Media.
Related Articles

Dental KOL Marketing: How Implant and Periodontal Brands Build Their Key Opinion Leader Bench
11 min read
Dental Video Marketing: How Brands Use Clinical Video to Drive KOL Adoption
12 min read
